Skip to content Skip to sidebar Skip to footer

Hodgkin's Lymphoma Bulky Disease Prognosis

Definition Of Bulky Disease In Early Stage Hodgkin Lymphoma In Computed Tomography Era Prognostic Significance Of Measurements In The Coronal And Transverse Planes Haematologica

Definition Of Bulky Disease In Early Stage Hodgkin Lymphoma In Computed Tomography Era Prognostic Significance Of Measurements In The Coronal And Transverse Planes Haematologica

Hodgkin's lymphoma bulky disease prognosis. Smaller tumours often respond better to therapy than larger ones. A very large tumour 10 cm or more may be called a bulky tumour. A mass in the chest that is one-third the width of the chest or any lymph node mass greater than 10 centimeters.

People with normal hemoglobin levels have a better prognosis than those with low hemoglobin levels. With each additional adverse prognostic factor the predicted rate is reduced by approximately 8. As one of the best cancers to have Hodgkins lymphoma is less likely to pose a threat to a patients life even in its more advanced stages than many other diseases.

Involvement of 3 or more lymph nodes. The stage of your cancer. The extent to which the cancer has spread in the body.

B symptoms include unexplained fever drenching night sweats and unexplained weight loss. Bulky disease is considered a major driver of unfavorable prognosis in early stage Hodgkin Lymphoma HL. Liew KH Easton D Horwich A Barrett A Peckham MJ.

The International Prognostic Score IPS helps doctors predict a prognosis and determine treatment for people with advanced HL. Bulky mediastinal Hodgkins disease management and prognosis. Chemotherapy treatment with ABVD doxorubicin bleomycin Velban and dacarbazine for 6 cycles.

Treatment guidelines for bulky early stage HL call for more aggressive initial therapy compared to non-bulky disease. Stage 4 HL has a less favourable prognosis than stage 2B or stage 3. In this study we correlate clinical data and chromosomal aberrations in 70 adult patients with newly diagnosed NHL followed for a median of 20 months.

Fever drenching night sweats andor unexplained weight loss greater than 10 percent of body weight over 6 months. The Hasenclever International Prognostic Score IPS was designed to predict five-year freedom from progression of Hodgkins disease.

Definition Of Bulky Disease In Early Stage Hodgkin Lymphoma In Computed Tomography Era Prognostic Significance Of Measurements In The Coronal And Transverse Planes Haematologica

Definition Of Bulky Disease In Early Stage Hodgkin Lymphoma In Computed Tomography Era Prognostic Significance Of Measurements In The Coronal And Transverse Planes Haematologica

Definition Of Bulky Disease In Early Stage Hodgkin Lymphoma In Computed Tomography Era Prognostic Significance Of Measurements In The Coronal And Transverse Planes Haematologica

Definition Of Bulky Disease In Early Stage Hodgkin Lymphoma In Computed Tomography Era Prognostic Significance Of Measurements In The Coronal And Transverse Planes Haematologica

Definition Of Bulky Disease In Early Stage Hodgkin Lymphoma In Computed Tomography Era Prognostic Significance Of Measurements In The Coronal And Transverse Planes Haematologica

Definition Of Bulky Disease In Early Stage Hodgkin Lymphoma In Computed Tomography Era Prognostic Significance Of Measurements In The Coronal And Transverse Planes Haematologica

Definition Of Bulky Disease In Early Stage Hodgkin Lymphoma In Computed Tomography Era Prognostic Significance Of Measurements In The Coronal And Transverse Planes Haematologica

Definition Of Bulky Disease In Early Stage Hodgkin Lymphoma In Computed Tomography Era Prognostic Significance Of Measurements In The Coronal And Transverse Planes Haematologica

Early Stage Bulky Hodgkin Lymphoma Patients Have A Favorable Outcome When Treated With Or Without Consolidative Radiotherapy Potential Role Of Pet Scan In Treatment Planning Nguyen 2017 British Journal

Early Stage Bulky Hodgkin Lymphoma Patients Have A Favorable Outcome When Treated With Or Without Consolidative Radiotherapy Potential Role Of Pet Scan In Treatment Planning Nguyen 2017 British Journal

Childhood Hodgkin Lymphoma Disease Stages And Prognosis Acco

Childhood Hodgkin Lymphoma Disease Stages And Prognosis Acco

Worse Prognosis For Bulky Disease Diffuse Large B Cell Lymphoma Cancerconnect

Worse Prognosis For Bulky Disease Diffuse Large B Cell Lymphoma Cancerconnect

Ab Ab Ab Ab Ab A Patient Of Hodgkin S Lymphoma With Bulky Download Scientific Diagram

Ab Ab Ab Ab Ab A Patient Of Hodgkin S Lymphoma With Bulky Download Scientific Diagram

Definition Of Bulky Disease In Early Stage Hodgkin Lymphoma In Computed Tomography Era Prognostic Significance Of Measurements In The Coronal And Transverse Planes Haematologica

Definition Of Bulky Disease In Early Stage Hodgkin Lymphoma In Computed Tomography Era Prognostic Significance Of Measurements In The Coronal And Transverse Planes Haematologica

Hodgkin Lymphoma A Review And Update On Recent Progress Shanbhag 2018 Ca A Cancer Journal For Clinicians Wiley Online Library

Hodgkin Lymphoma A Review And Update On Recent Progress Shanbhag 2018 Ca A Cancer Journal For Clinicians Wiley Online Library

Lymphoma Eyad Alsaeed Mbbs Frcpc Associate Professor Department

Lymphoma Eyad Alsaeed Mbbs Frcpc Associate Professor Department

A Relapse Free Survival In Bulky Vs Non Bulky Disease P 0 2 B Download Scientific Diagram

A Relapse Free Survival In Bulky Vs Non Bulky Disease P 0 2 B Download Scientific Diagram

The Role Of Pet In First Line Treatment Of Hodgkin Lymphoma The Lancet Haematology

The Role Of Pet In First Line Treatment Of Hodgkin Lymphoma The Lancet Haematology

Hodgkin Versus Non Hodgkin Lymphoma Youtube

Hodgkin Versus Non Hodgkin Lymphoma Youtube

Hodgkins Lymphoma History Physical Exam And Management

Hodgkins Lymphoma History Physical Exam And Management

International Prognostic Score In Advanced Stage Hodgkin S Lymphoma Altered Utility In The Modern Era Semantic Scholar

International Prognostic Score In Advanced Stage Hodgkin S Lymphoma Altered Utility In The Modern Era Semantic Scholar

The Role Of Pet In The First Line Treatment Of The Most Common Subtypes Of Non Hodgkin Lymphoma The Lancet Haematology

The Role Of Pet In The First Line Treatment Of The Most Common Subtypes Of Non Hodgkin Lymphoma The Lancet Haematology

Definition Of Bulky Disease In Early Stage Hodgkin Lymphoma In Computed Tomography Era Prognostic Significance Of Measurements In The Coronal And Transverse Planes Haematologica

Definition Of Bulky Disease In Early Stage Hodgkin Lymphoma In Computed Tomography Era Prognostic Significance Of Measurements In The Coronal And Transverse Planes Haematologica

Bulky Mediastinal Classical Hodgkin Lymphoma In Young Women

Bulky Mediastinal Classical Hodgkin Lymphoma In Young Women

Independent Poor Prognostic Factors In Pediatric Hl From Various Download Table

Independent Poor Prognostic Factors In Pediatric Hl From Various Download Table

Early Stage Hodgkin S Lymphoma Nejm

Early Stage Hodgkin S Lymphoma Nejm

Treatment Of Stage I And Ii Hodgkin S Lymphoma With Abvd Chemotherapy Results After 7 Years Of A Prospective Study Annals Of Oncology

Treatment Of Stage I And Ii Hodgkin S Lymphoma With Abvd Chemotherapy Results After 7 Years Of A Prospective Study Annals Of Oncology

Hodgkin S Lymphoma

Hodgkin S Lymphoma

3

3

Pdf Definition Of Bulky Disease In Early Stage Hodgkin Lymphoma In Computed Tomography Era Prognostic Significance Of Measurements In The Coronal And Transverse Planes

Pdf Definition Of Bulky Disease In Early Stage Hodgkin Lymphoma In Computed Tomography Era Prognostic Significance Of Measurements In The Coronal And Transverse Planes

Two Distinct Prognostic Groups In Advanced Stage Hodgkin Lymphoma Revealed By The Presence And Site Of Bulky Disease Sciencedirect

Two Distinct Prognostic Groups In Advanced Stage Hodgkin Lymphoma Revealed By The Presence And Site Of Bulky Disease Sciencedirect

Does Bulky Disease At Diagnosis Influence Outcome In Childhood Hodgkin S Disease And Require Higher Radiation Doses Results From The German Austrian Pediatric Multicenter Trial Dal Hd 90 International Journal Of Radiation Oncology Biology Physics

Does Bulky Disease At Diagnosis Influence Outcome In Childhood Hodgkin S Disease And Require Higher Radiation Doses Results From The German Austrian Pediatric Multicenter Trial Dal Hd 90 International Journal Of Radiation Oncology Biology Physics

Interim Interleukin 6 Levels Correlate With Progression Free Survival In Patients With Classic Hodgkin S Disease A Pilot Study

Interim Interleukin 6 Levels Correlate With Progression Free Survival In Patients With Classic Hodgkin S Disease A Pilot Study

Treatment Schema Early Unfavorable Bulky Hodgkin Lymphoma A Download Scientific Diagram

Treatment Schema Early Unfavorable Bulky Hodgkin Lymphoma A Download Scientific Diagram

Nhl Staging Leukemia And Lymphoma Society

Nhl Staging Leukemia And Lymphoma Society

Hodgkin Lymphoma Hematology And Oncology Msd Manual Professional Edition

Hodgkin Lymphoma Hematology And Oncology Msd Manual Professional Edition

Early Stage Hodgkin Lymphoma Mdedge Hematology And Oncology

Early Stage Hodgkin Lymphoma Mdedge Hematology And Oncology

Christine Liebertz Rn Nurse Practitioner Department Of Nursing Memorial Sloan Kettering Cancer Center New York New York Nursing Considerations For Patients Ppt Download

Christine Liebertz Rn Nurse Practitioner Department Of Nursing Memorial Sloan Kettering Cancer Center New York New York Nursing Considerations For Patients Ppt Download

Hodgkin Lymphoma Wikipedia

Hodgkin Lymphoma Wikipedia

Childhood Hodgkin Lymphoma Treatment Pdq Health Professional Version National Cancer Institute

Childhood Hodgkin Lymphoma Treatment Pdq Health Professional Version National Cancer Institute

Hodgkin Lymphoma Nature Reviews Disease Primers

Hodgkin Lymphoma Nature Reviews Disease Primers

Hodgkin Lymphoma In Children And Adolescents Introduction Hodgkin

Hodgkin Lymphoma In Children And Adolescents Introduction Hodgkin

Geeta Hodgkin Lymphoma

Geeta Hodgkin Lymphoma

Early Stage Hodgkin S Lymphoma Nejm

Early Stage Hodgkin S Lymphoma Nejm

Intensive Treatment Strategies In Advanced Stage Hodgkin S Lymphoma Hd9 And Hd12 Analysis Of Long Term Survival In Two Randomised Trials The Lancet Haematology

Intensive Treatment Strategies In Advanced Stage Hodgkin S Lymphoma Hd9 And Hd12 Analysis Of Long Term Survival In Two Randomised Trials The Lancet Haematology

Seom Clinical Guidelines For The Treatment Of Hodgkin S Lymphoma Abstract Europe Pmc

Seom Clinical Guidelines For The Treatment Of Hodgkin S Lymphoma Abstract Europe Pmc

Hodgkin Lymphoma Cancer Therapy Advisor

Hodgkin Lymphoma Cancer Therapy Advisor

Fluorodeoxyglucose Positron Emission Tomography Staging Can Replace Bone Marrow Biopsy In Hodgkin S Lymphoma Results From Brazilian Hodgkin S Lymphoma Study Group

Fluorodeoxyglucose Positron Emission Tomography Staging Can Replace Bone Marrow Biopsy In Hodgkin S Lymphoma Results From Brazilian Hodgkin S Lymphoma Study Group

Hodgkin Lymphoma Nature Reviews Disease Primers

Hodgkin Lymphoma Nature Reviews Disease Primers

Impact Of Risk Factors On Outcomes In Early Stage Hodgkin S Lymphoma An Analysis Of International Staging Definitions Annals Of Oncology

Impact Of Risk Factors On Outcomes In Early Stage Hodgkin S Lymphoma An Analysis Of International Staging Definitions Annals Of Oncology

Hodgkin S Disease

Hodgkin S Disease

Improving Outcomes In Advanced Dlbcl Systemic Approaches And Radiotherapy

Improving Outcomes In Advanced Dlbcl Systemic Approaches And Radiotherapy

Pdf Bulky Disease Is The Most Important Prognostic Factor In Hodgkin Lymphoma Stage Iib

Pdf Bulky Disease Is The Most Important Prognostic Factor In Hodgkin Lymphoma Stage Iib

Search Q Reed Sternberg Cells Tbm Isch

Search Q Reed Sternberg Cells Tbm Isch

Any NHL tumour that is greater than 10 cm in diameter.

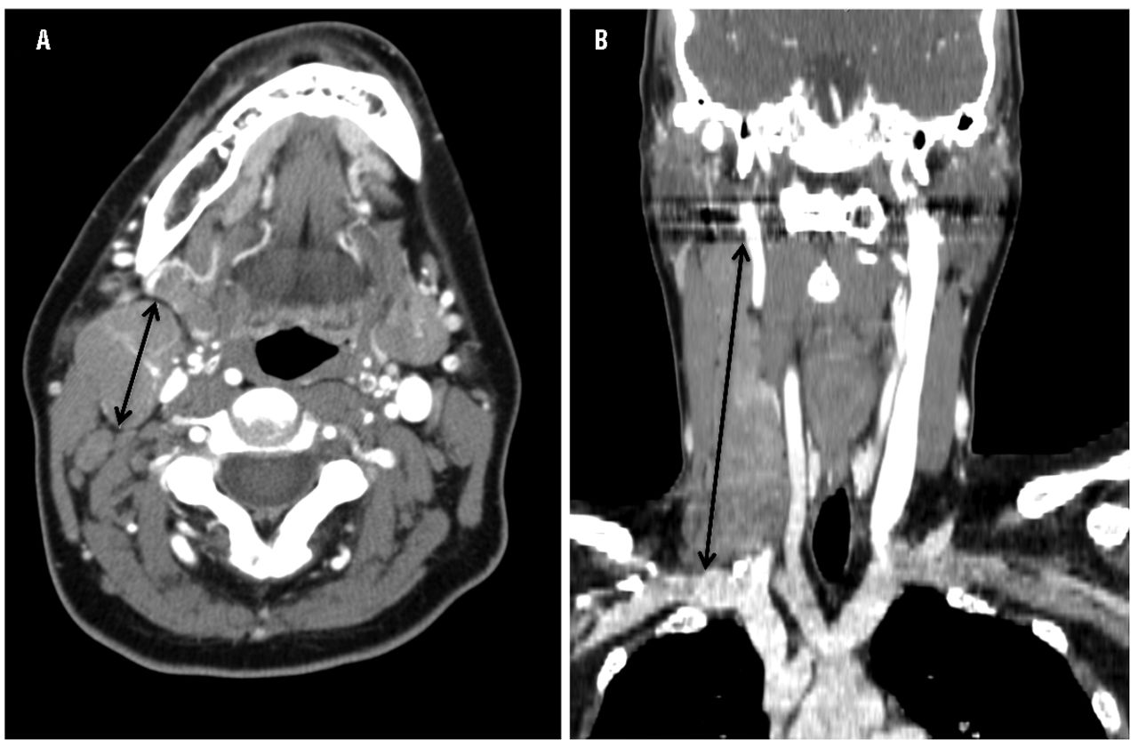
This retrospective analysis investigated the prognostic significance of bulky disease measured in transverse and coronal planes on computed tomography imaging. Chemotherapy treatment with ABVD doxorubicin bleomycin Velban and dacarbazine for 6 cycles. Smaller tumours often respond better to therapy than larger ones. The stage of your cancer. The extent to which the cancer has spread in the body. This retrospective analysis investigated the prognostic significance of bulky disease measured in transverse and coronal planes on computed tomography imaging. Bulky mediastinal Hodgkins disease management and prognosis. The Hodgkins lymphoma Stage IV prognosis is therefore reasonably positive. It is based on the following 7 unfavourable risk factors.


Chemotherapy treatment with ABVD doxorubicin bleomycin Velban and dacarbazine for 6 cycles. The amount of an enzyme called lactate. People with normal hemoglobin levels have a better prognosis than those with low hemoglobin levels. Your doctor will think about a few things called prognostic factors to get an idea of your odds. The Hodgkins lymphoma Stage IV prognosis is therefore reasonably positive. Other modifiers may also be used to describe the Hodgkin lymphoma stage. The Hasenclever International Prognostic Score IPS was designed to predict five-year freedom from progression of Hodgkins disease.

Post a Comment for "Hodgkin's Lymphoma Bulky Disease Prognosis"